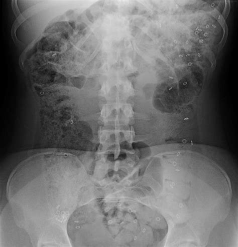
what does a sitz marker study show

what does a sitz marker study show

what does a sitz marker study show. There are some references to what does a sitz marker study show in this article. If you are looking for what does a sitz marker study show you've came to the right place. We have posts about what does a sitz marker study show. You can check it out below.

Showing posts matching the search for what does a sitz marker study show